Animales exóticos que es complicado trasladarlos o implica un riesgo, animales fracturados o lesionados (caballo, tigre, jirafa, pitón, búfalo, camello, perro, gato, delfines, etc.).

Cuadros o retablos para evaluar intervenciones, o pinturas debajo del cuadro, condición del marco, presencia de clavos etc. Escultura de madera para evaluar ensambles, uniones, etc. Esculturas de cera para ver el armazón interno u osamenta así como los materiales utilizados para su elaboración. Instrumentos musicales para determinar estructuras internas, piezas de metal rotas, nivel de deterioro, etc.

Personas de edad avanzada y que por su condición no pueden trasladarse a un hospital o que moverlos implica riesgos (radiología ambulatoria), niños, adultos, seguimiento post cirugía ortopédica, etc.

La Termografía proviene de las palabras latinas "calor" y "escribir". Se define como una herramienta complementaria de diagnóstico, no invasiva, que proyecta imágenes a colores de la temperatura de la superficie de la piel. La termografía sirve en la detección de áreas de inflamación. Esta capacidad de evaluar cambios en la temperatura de forma no invasiva hace que la termografía sea una herramienta más que contribuye para el diagnóstico de algunas afecciones en animales y humanos.

Portabilidad
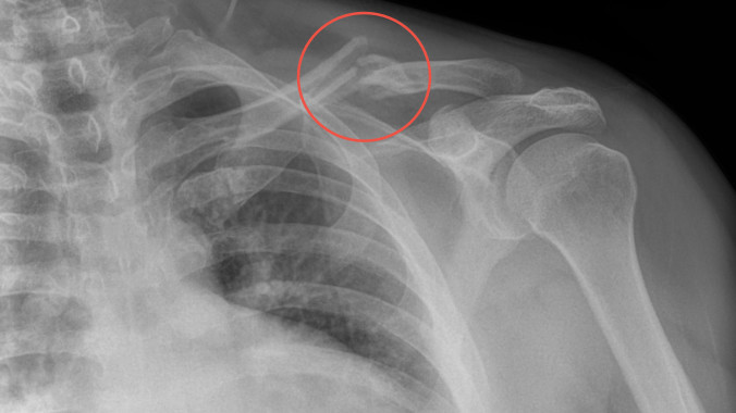
Herramienta de diagnóstico ideal por su portabilidad, recomendada para seguimiento de fracturas, o procedimientos quirúrgicos con implantes, pacientes geriatras con incapacidad para trasladarse a un hospital para evaluación radiográfica.
Precaución
Pacientes que por sus lesiones requieren traslado en ambulancia, posterior a su revisión radiográfica in situ.
Comodidad
O simplemente por comodidad, las radiografías las podemos hacer en tu domicilio para evitar que vayas a un hospital evitando así riesgos sanitarios.
Ideal para pacientes con incapacidad para trasladarse al hospital o moverse. Fracturados, con fijación externa, osteoporosis, niños, adultos, pacientes geriatras, seguimiento post cirugía ortopédica.
SI NO QUIERES IR AL HOSPITAL, AGENDA UNA CITA NOSOTROS VAMOS
Dr. José Luis Velázquez
Cel 55 2690 2643
jlvr@unam.mx
jlvr@radiologiadigitalambulatoria.com
Dra. Fernanda Castro
Cel 55 6966 4233